![]() |
| Image Credit: Flickr |
Authors: Sachin Allahabadi, MSIV
Jorge Louis Aceves, MSIV
Joseph Nathaniel Chorley, MD
Veronica Tucci, MD JD
Baylor College of Medicine; Houston, TX
![]() |
| This post was peer reviewed. Click to learn more. |
An 18-year-old male presents to the emergency department after a fall and painful, twisting right ankle injury during a soccer game. The patient is unable to bear weight, and denies numbness and tingling. Initial exam reveals generalized ankle swelling and ecchymosis, with intact and equal sensation to light touch in bilateral lower extremities, brisk capillary refill, and a 2+ dorsalis pedis pulse. The patient is non-tender to palpation of bilateral malleoli, but has exquisite bony tenderness over his distal fibula. The proximal fibula is non-tender to palpation. There is also tenderness over the medial joint line. Ankle range of motion is limited due to pain, but the patient is able to wiggle his toes.
What are the indications to obtain an ankle radiograph series in our patient?
The most commonly-cited and well-established decision instrument in the emergency department in the evaluation of ankle injuries are the Ottawa ankle rules.[1] These ankle imaging guidelines have demonstrated a sensitivity of almost 100%.[2, 3] The Ottawa ankle rules indicate that ankle imaging is only necessary if the patient presents with any one of the following in addition to pain in the malleolar zone:
- Bony tenderness over the distal 6 cm of the posterior edge or tip of the lateral malleolus,
- OR
- Bony tenderness over the distal 6 cm of the posterior edge or tip of the medial malleolus,
- OR
- Inability to bear weight for four steps immediately after the injury and in the emergency department
Our patient presented with specific bony tenderness that was proximal to the malleolar zone in the distal fibula, but his inability to bear weight is an indication for an ankle radiograph per the Ottawa Ankle Rules.
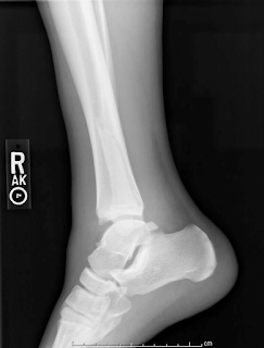
Based on the interpretation of the radiographs shown, what physical exams could be performed to confirm the likely soft tissue injury?
In addition to a spiral fracture of the distal diaphysis of the fibula, the patient’s imaging is concerning for a high ankle sprain given the medial displacement of the tibia, lateral displacement of the fibula, and increased tibiofibular clear space.
A high ankle sprain is a sprain of the tibiofibular syndesmotic ligaments and interosseous membrane.[4] While sprains involving the lateral ankle sprains (such as those involving the anterior talofibular, calcaneofibular, or posterior talofibular ligaments) typically result from inversion ankle injuries, high ankle sprains are more often the result of dorsiflexion and external rotation.
With this mechanism of injury in mind, two major physical exam provocative maneuvers may be performed. The first test used to evaluate high ankle sprains is the syndesmosis squeeze test. In this provocative maneuver, the examiner’s hands are placed on the tibia and fibula at the level of the patient’s mid-calf. The examiner squeezes his or her hands together, compressing the tibia and fibula toward one another, which causes separation of the distal tibiofibular joint. A positive test involves replicated pain located in the distal tibiofibular joints, distal to the location of examiner hand placement. Pain located at the site of the squeeze, at the level of the mid-calf, is associated with shin splints and is not considered a positive test result.
The second commonly used test for high ankle sprains is the dorsiflexion-external rotation stress test. For this maneuver, the patient sits with his or her legs off the table and knees flexed to 90 degrees. With one hand, the examiner stabilizes the tibia of the affected leg, and with the other hand, the examiner externally rotates and dorsiflexes (thereby recreating the mechanism of injury) the patient’s foot. The test is positive when pain is felt at the distal tibiofibular ligament or syndesmoses.
A review by Sman et al. notes that the dorsiflexion-external rotation test had the highest diagnostic accuracy and sensitivity of the major clinical tests used to evaluate syndesmosis injury. The same review notes a specificity of ~88% for the squeeze test in the evaluation of syndesmotic injury and a sensitivity ~92% with syndesmosis ligament tenderness.[5]
It is important to also note that with any suspected ankle soft tissue injury, one should palpate for bony tenderness along the entire length of the fibula to evaluate for concomitant fibular fracture, as in this case.
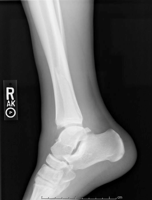
Below are the patient’s initial ankle radiographs. Based on the Weber ankle fracture classification, what would be the likely course of management for this patient?
The Danis-Weber classification system for ankle fractures has three major classifications for fibular fracture: Type A, B, and C. In general, the more proximal the fracture the greater risk of disruption of the syndesmotic ligaments, and thus greater associated instability.[6] Type A refers to a lateral malleolar avulsion fracture below the level of the talar dome. Type B refers to an oblique or spiral fracture of the fibula at or near the level of the syndesmosis. Evidence suggests that Type A and Type B fractures unimalleolar fractures have similar outcomes, showing lower rates of complications compared to Type C. However, other important factors inversely correlated with prognosis include the number of malleoli fractured and the age of patients.[7]
This ankle fracture would specifically be a Weber type C ankle fracture. Weber type C ankle fractures are above the level of the ankle joint with tibiofibular syndesmosis disruption and associated medial injury.[6] It is important to note that Weber type C ankle fractures may arise as proximally as the fibular neck, and thus full evaluation of the fibula (on both physical exam and on radiographs) is necessary. This fracture is unstable and usually requires referral for an orthopedic consult for open reduction and internal fixation.
![]() |
| Click to enlarge. |
![]() |
| Click to enlarge. |
![]() |
| Click to enlarge. |
Figure 3. Lateral view X-ray of ankle demonstrating a spiral fracture of the fibula above the level of the ankle joint.
References:
1. Stiell IG, Greenberg GH, McKnight RD, Nair RC, McDowell I, Worthington JR. A study to develop clinical decision rules for the use of radiography in acute ankle injuries. Ann Emerg Med. 1992; 21(4): 384-390.
2. Bachmann LM, Kolb E, Koller MT, Steurer J, ter Riet G. Accuracy of Ottawa ankle rules to exclude fractures of the ankle and mid-foot: systematic review. BMJ. 2003; 326(7386): 417.
3. Jenkin M, Sitler MR, Kelly JD. Clinical usefulness of the Ottawa Ankle Rules for detecting fractures of the ankle and midfoot. J Athl Train. 2010; 45(5): 480-482.
4. Tiemstra JD. Update on acute ankle sprains. Am Fam Physician. 2012; 85(12): 1170-1176.
5. Sman AD, Hiller CE, Rae K, et al. Diagnostic accuracy of clinical tests for ankle syndesmosis injury. Br J Sports Med. 2015; 49(5): 323-329.
6. Egol KA, Koval KJ, Zuckerman JD. Injuries about the ankle. In: Handbook of Fractures. 5th ed. Philadelphia, PA: Wolters Kluwer; 2014: 465-494.
7. Kennedy JG, Johnson SM, Collins AL, et al. An evaluation of the Weber classification of ankle fractures. Injury. 1998; 29(8): 577-580.




