Author: Benjamin Lindquist, MD
![]() |
| This post was peer reviewed. Click to learn more. |
Chief Resident
Stanford/Kaiser Emergency Medicine Residency
A 50 year-old male pedestrian presented to the emergency department by ambulance after having his left foot struck by a bicyclist while the foot was firmly planted on the ground. He complained of severe pain to his medial ankle but denied knee or hip pain. He had no other injuries. On examination, he had slight eversion at the ankle with significant tenderness over the medial malleolus. He also had tenderness over his proximal fibula. He had normal strength, sensation and pulses.
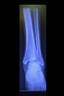
X-ray showed widening of the medial tibiotalar joint space (Image A) and a comminuted fracture of the proximal fibula (Image B). These findings are suggestive of a Maisonneuve fracture with syndesmotic ligament disruption. He was placed in a splint and referred to orthopedic surgery. Ten days later, he underwent operative fixation of his syndesmotic ligament injury.
In evaluating patients with ankle injury, it is imperative to assess for concomitant proximal fibular fractures. As in this case, it is common for patients to complain only of ankle pain and not pain around the proximal fibula. However, Maisonneuve fractures are often unstable and require surgical fixation, whereas isolated fibular fractures or deltoid ligament sprains are managed nonsurgically.
![]() |
|
Image A: Anteroposterior view L ankle
|
![]() |
|
Image B: Anteroposterior view L tibia-fibula
|
References:
Taweel NR, Raikin SM, Karanjia HN, Ahmad J. The proximal fibula should be examined in all patients with ankle injury: a case series of missed maisonneuve fractures. J Emerg Med. 2013;44(2):e251-5. PMID: 23079149


