Author: Robert Adams OMSIII and Wayne Lindsay OMSIII
Campbell University School of Osteopathic Medicine
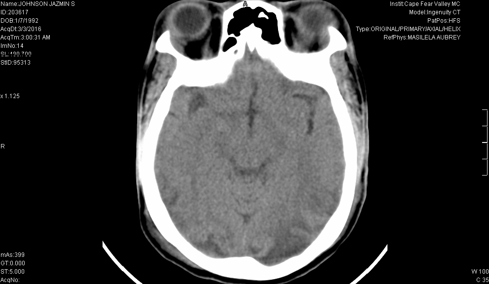
A 24-year-old African American female with a history of polysubstance abuse presented to the emergency department in status epilepticus. The patient was given Midazolam by EMS. She arrived unable to protect her airway and was therefore intubated and sent for a non-contrast head CT. The patient’s mother denied a history of seizures, but reported her daughter complained of a headache earlier that afternoon. Past medical history was significant for SLE, depression, fibromyalgia, and medication non-compliance. Initial vitals revealed she was afebrile, pulse of 87, blood pressure of 150/96, and respiratory rate of 30. Within the first hour, her blood pressure climbed to 167/120 and her pulse to 153. Her initial CT scan is shown below:
![]() |
| Image: Radiopedia |
Which of the following treatments will most likely improve the clinical outcome in this patient?
A. Tissue plasminogen activator
B. 325 mg Aspirin and physical therapy consult when stable
C. Immediate blood pressure lowering
D. Broad spectrum IV antibiotics with lumbar puncture
Answer: C
This patient is presenting with the clinical picture of reversible posterior leukoencephalopathy syndrome (RPLS). RPLS is a neurotoxic state that occurs secondary to the inability of posterior circulation to auto-regulate in response to acute changes in blood pressure. Common causes include hypertensive disorders, eclampsia, use of cytotoxic and immunosuppressant drugs, and renal disease. RPLS may occur in patients of all ages–with a higher prevalence in women.
Workup
Workup should begin with a thorough history and physical. Clinical manifestations of RPLS include headaches, altered levels of consciousness or confusion, visual disturbances, and seizures. Patients may have brisk deep tendon reflexes and positive Babinski signs, along with weakness and limb incoordination. In RPLS, headaches are typically described as constant, non-localized, moderate to severe, and unresponsive to analgesics. Visual disturbances include hemianopia, visual neglect, auras, visual hallucinations, and cortical blindness or Anton’s syndrome (denial of blindness). Generalized tonic-clonic seizures are often the presenting manifestation, typically reoccurring, and possibly leading to status epilepticus.
Comorbid medical conditions, including ischemic bowel disease, sepsis, hyponatremia, and proteinuria, may exacerbate neurologic deterioration, and therefore are important to identify early. Neuroimaging is critical to the diagnosis of RPLS. Typical findings are symmetrical white matter edema in the posterior cerebral hemispheres, especially the parieto-occipital regions. However, variations are common. These abnormal findings are often apparent on CT scans, but are best visualized on MRI. Because there are no specific diagnostic criteria for RPLS, recognizing the clinical symptoms and signs, identifying comorbid conditions, and rapid assessment of laboratory and imaging studies is key.
Differentiating between RPLS and its alternative diagnoses is another critical aspect to the workup of these patients, especially because it could significantly alter the treatment. These differentials include CVA, venous thrombosis, toxic or metabolic encephalopathy, demyelinating disorders, and vasculitis among others.
Treatment
Most patients with RPLS and seizures are treated with phenytoin. In eclampsia, however, magnesium and delivery are typically sufficient. Treatment of hypertension is critical and should include easily titratable drugs such as nicardipine or labetalol. Oral anti-hypertensive drugs have a slower onset of action and generally cannot lower and maintain appropriate blood pressure as consistently. Blood pressure should not exceed a 25 percent interval decrease over two to six hours.
Disposition
Reversible posterior leukoencephalopathy syndrome is usually benign and tends to fully resolve within days to weeks with appropriate treatment. However, due to the unstable nature and the need for prolonged treatment regimens, these patients should be admitted. Severe complications such as permanent neurologic disability and death do occur, but the prevalence is still relatively unknown. Repeat imaging is warranted for confirmation of full recovery; however, radiologic improvement may lag behind clinical recovery.
References:
1. Knipe, Henry, Dr. “Posterior Reversible Encephalopathy Syndrome.”Radiopaedia.org. Web. <http://radiopaedia.org/articles/posterior-reversible-encephalopathy-syndrome-1>.
2. Neil, Terry A. “Reversible Posterior Leukoencephalopathy Syndrome.” UpToDate. 29 Apr. 2015. Web. 04 Apr. 2016. <http://www.uptodate.com/contents/reversible-posterior-leukoencephalopathy-syndrome?source=search_result&search=rpls&selectedTitle=1~150>.
